牙齿颜色异常是口腔的常见疾病,各年龄组均可发生,乳牙和恒牙都可累及。牙齿着色分为内源性和外源性,可表现为个别牙变色和全口牙变色,变色牙可呈灰色、棕色褐色、红色等。

内源性牙变色的病因
内源性牙变色是指由于受到某些病变或药物的影响,牙内部结构包括釉质、牙本质等均发生着色,常伴有牙发育的异常,活髓牙和无髓牙均可受累。根据累及牙数的不同,内源性着色又分个别和全口牙的内源性着色。
牙未萌出前某些疾病可影响牙胚胎发育及硬组织形成,也可引起牙齿颜色的异常,如婴幼儿高胆红素血症,血液系统疾病如卟咻症、四环素类药物和氟化物的应用、釉质发育不全、营养障碍和某些母婴疾病(如维生素严重缺乏)等。
牙萌出后 原因有化学物质、外伤、某些抗生素的使用、牙髓组织的坏死分解等。其中牙髓出血、牙本质脱水、根管内封药和窝洞充填可造成个别牙内源性着色。
内源性牙变色的临床表现
局部因素造成个别牙内源性着色。
外伤 使牙髓出血,近期牙冠可呈现粉红色,日久可变为浅灰色、浅棕色或灰棕色,此时检查牙髓可有活力。牙髓坏死后牙齿呈现灰黑色,此时牙髓无活力。
全身因素造成多个牙或全口牙内源性着色。
常伴有牙结构的发育缺陷如四环素牙和氟斑牙,牙齿颜色表现各异。
外源性牙染色的病因
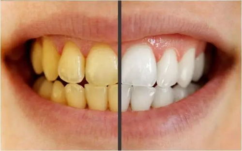
外源性牙染色是由于某些药物、烟电草、食物、饮料(如茶叶咖啡巧克力等)中的色素沉积在牙面或修复体表面引起着色,牙内部结构组织完好,只影响牙的美观不影响牙的功能。
由多种原因引起包括附着在牙表面的菌斑、产色素细菌如产黑色素类杆菌;饮料(咖啡、可乐等)食物(油炸和咖哩食品等);漱口水如洗必泰漱口液;抗生素如米诺环素;长期吸烟,使焦油沉积于牙表面形成的烟斑;职业性接触某些矿物质,如铁、硫、镍、铬等;其他药物如补铁制剂等。

外源性牙染色的临床表现
在牙的表面如牙颈部、近远中面、下颌牙舌面和上颌牙腭面有条状、线状或块状的色素沉着,根据着色原因不同,可有多种色素沉着,可累及整个牙面。
吸烟使牙面呈黄色、褐色或黑色;色素细菌引起的多为黄色,见于上磨牙颊侧及下前牙舌侧,绿色是由荧光菌或真菌产生,多见于儿童。
化学物质中的某些金属产生的染色,如铜粉尘造成绿色色素沉积,铁为棕色其他较少见。
评论列表