正常人上、下前牙的位置是上牙包盖着下牙,反颌是下牙包盖着上牙。轻度的前牙反颌,面部无显著异常,严重者上颌骨发育不足,上唇凹陷,下颌前突。

前牙反颌的临床表现
1.牙源性前牙反颌,多由于牙齿萌出或替换过程中的位置异常所致,常表现为单纯的前牙反颌,下颌的形态、大小基本正常。上、下颌骨无明显异常。颊部不前突,颜面基本正常。矫治容易,预后良好。
2.骨源性前牙反颌,多由于遗传和疾病因素所致。除了前牙反颌外,常伴有颌骨畸形,颊部明显前突,颜面多呈凹面形。
3.功能型前牙反颌,由于不良的哺乳姿势等而引起下颌功能性过度前伸或前突和前牙反颌,其下颌形态和大小基本正常,下颌可后退至上、下前牙切缘对给位置,又称为假性下颌前突。
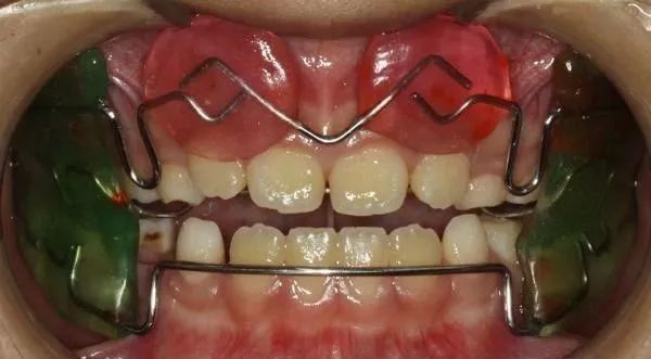
前牙反颌的治疗
应及早消除病因,早期进行矫治,以阻断畸形的进一步发展,达到良好的矫治效果。
1.纠正哺乳期间不良的哺乳姿势,避免婴儿下颌过度前伸,教母亲给小儿喂水喂奶时的正确姿势。
2.保持乳牙早失的间隙,应用间隙保持器维持早失的上乳磨牙间隙,及早的拔除滞留牙,特别是滞留的下乳磨牙。
3.慢性扁桃体炎引起的前牙反颌 应及早治疗扁桃体患。
4.乳尖牙磨耗不足引起的前牙反颌可调磨过高的牙尖,使下颌自行复位。
5.及早破除口腔不良习惯,如咬上唇。
6.头帽与牵引颏兜矫正装置,适用于早期骨源性前牙反颌合并下颌前突的患者。可与颌垫、舌簧矫治器结合使用。
7.前方牵引矫正装置,适于上颌发育不足及下颌前突的早期骨源性前牙反颌。是口腔内和口腔外矫正装置的联合应用。

8.功能性治器属于活动矫治器,是利用肌肉的功能矫治错颌畸形。
9.固定矫治器临床上使用的包括 edgewise 方丝弓矫治器和 Begg矫治器均可矫治前牙反颌。
10.矫治器与正颌外科手术联合治疗适于严重骨源畸形的成年人前牙反颌。
评论列表