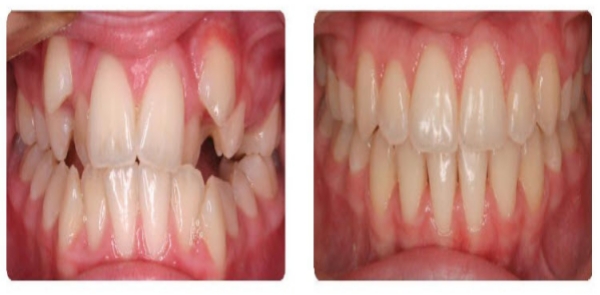
矫治埋藏牙的注意事项 对于埋藏牙位置较浅者,也可以直接开窗,去除表面粘膜及皮质骨,充分暴露牙冠。减小了萌出过程的阻力,开窗处放碘仿纱条防止感染。为了加速萌出,也可以在牙冠上贴托槽向外... 牙齿矫正 公冶乐天 626 2023-12-08
埋藏牙正畸矫治的特点 埋伏阻生牙在临床上比较常见,是一类矫治时间较长,病情发生复杂,矫治较为困难的一类错颌畸形。此类患者大多有早期的牙外伤史,齿替换障碍等,也有的患者属牙胚发育异位,... 牙齿矫正 充向雪 637 2023-12-08
牙科小知识:哪些口腔疾病是吸烟导致的? 吸烟对健康的危害众所周知,在口腔领域,吸烟也是多种疾病的重要诱因。下面我们就来详细了解一下哪些口腔疾病与吸烟密切相关。一、牙周病牙龈炎吸烟会导致口腔内菌群失衡,... 口腔资讯 厉涵山 2777 2024-08-13
种植牙期间出现牙龈炎可能会引发哪些并发症? 在种植牙的过程中,牙龈炎是一种可能出现的状况。如果不加以重视和及时处理,牙龈炎可能会引发一系列并发症,给种植牙的效果和患者的口腔健康带来严重影响。接下来,让我们... 种植牙 公冶乐天 2077 2024-08-13
种植牙知识:吸烟会如何影响种植牙的长期稳定性? 种植牙作为一种有效的牙齿修复方法,为许多缺牙患者带来了福音。然而,吸烟这一常见的生活习惯却可能对种植牙的长期稳定性产生不利影响。下面我们将深入探讨吸烟是如何影响... 种植牙 南光耀 2235 2024-08-13
种植牙期间出现牙龈炎怎么处理?怎么预防种牙期间出现牙龈炎? 种植牙是一种常见且有效的牙齿修复方式,但在种植牙期间,可能会出现牙龈炎这一并发症。牙龈炎不仅会给患者带来不适,还可能影响种植牙的进程和效果。下面我们将详细探讨种... 种植牙 充向雪 1826 2024-08-13
种牙小知识:种牙期间要怎么控制牙周炎的病情? 在种牙过程中,对于本身患有牙周炎的患者来说,控制病情至关重要。牙周炎若得不到有效控制,不仅会影响种牙的效果和成功率,还可能给口腔健康带来更多问题。下面我们就来详... 种植牙 仪捷 2096 2024-08-13
种牙小知识:吸烟为什么会影响种植牙的成功率? 在种植牙领域,吸烟是一个备受关注的因素,它对种植牙的成功率有着显著的负面影响。接下来,让我们深入探讨吸烟影响种植牙成功率的原因。一、吸烟对口腔局部环境的破坏影响... 种植牙 仙千风 1644 2024-08-13
种牙后牙龈出血要怎么处理?如何预防种植牙期间的牙龈出血? 种植牙是一种有效的牙齿修复方式,但在种牙后可能会出现牙龈出血的情况,这会让患者感到担忧。了解如何处理种牙后的牙龈出血以及如何预防这种情况的发生,对于患者的口腔健... 种植牙 丰尔槐 1714 2024-08-13
有哪些方法可以帮助患者在种牙后避免感染的发生? 种牙是一种常见且有效的牙齿修复方式,但种牙后存在一定的感染风险。为了确保种牙的成功和口腔健康,采取有效的措施来避免感染至关重要。下面将详细介绍帮助患者在种牙后避... 种植牙 丘乐正 2109 2024-08-13
种植牙失败的原因有哪些?种植牙失败后要怎么处理? 种植牙作为一种较为理想的牙齿修复方式,在为众多患者带来便利和美观的同时,也存在一定的失败风险。了解种植牙失败的原因以及相应的处理方法,对于患者和牙医都具有重要意... 种植牙 guoliangping 3001 2024-08-13
种牙小知识:数字化种植牙技术有哪些优缺点? 随着科技的不断进步,数字化种植牙技术在口腔医学领域得到了广泛的应用,为患者提供了更加精准、高效的种植牙解决方案。那么,数字化种植牙技术究竟有哪些优缺点呢?让我们... 种植牙 厉涵山 1960 2024-08-12