1955年,Buonocore 发明牙齿酸蚀技术以来,树脂贴面牙齿美容修复迅速发展。但是因树脂缺乏自然色泽,易磨损、变色,边缘渗漏、着色和老化等而逐渐被放弃。1975 年,Rochette首先报道采用酸蚀硅烷化的瓷块修复切牙缺损,取得良好效果。瓷贴面因美观、良好的生物相容性、耐磨损、耐污染性而受到医生和患者欢迎。

根据材料和制作方法的不同,瓷贴面一般分四种:烤瓷贴面,铸造玻璃陶瓷贴面,热压铸陶瓷贴面及计算机辅助设计和加工瓷贴面。
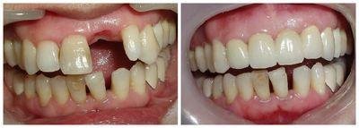
全瓷贴面的适应证
1.牙齿颜色异常:四环素牙,死髓牙,氟斑牙及由增龄引起的牙齿颜色加重。
2.釉质缺损:釉质发育不全和畸形,牙体部分缺损但未露髓。
3.错位牙:扭转或错位牙,牙体相对健康,患者不愿接受正畸治疗。
4.前牙错颌:前牙轻度错颌,通过牙齿唇舌面外形的改变调整前牙引导和正中接触区。
5.唇侧不良修复:牙齿唇侧厚或表浅的不美观的修复体。
6.前牙磨损:前牙渐进性的缓慢磨损有足够的牙釉质,用瓷贴面可以恢复其外形、颜色及功能。

全瓷贴面的禁忌证
1.没有足够的牙釉质:瓷贴面的边缘必须是牙釉质包绕,不仅为了保证粘接,而且是为了瓷贴面的牙齿边缘的更好的封闭。除此之外牙面还应有足够的釉质确保粘接,因为牙本质的粘接效果远远低于牙釉质。
2.缺少可酸蚀的牙釉质:乳牙和重度氟斑牙不能有效的酸蚀。
3.不良口腔习惯:夜磨牙或有咬异物习惯的患者不宜进行瓷贴面修复,过大的剪切力使瓷贴面不能承受。
评论列表