牙科知识:镶牙前进行牙周治疗的注意事项有哪些? 在准备镶牙时,牙周治疗是必不可少的前期准备工作。牙周治疗能够为镶牙创造良好的口腔环境,提高镶牙的效果和成功率。然而,在进行牙周治疗的过程中,也有一些需要注意的事... 口腔资讯 厉涵山 1437 2024-08-09
牙齿矫正小知识:隐形牙套矫正的舒适度和美观度如何? 在牙齿矫正的众多选择中,隐形牙套矫正因其独特的优势受到了越来越多人的关注。其中,舒适度和美观度是患者在选择矫正方式时常常考虑的重要因素。接下来,让我们深入探讨一... 牙齿矫正 公冶乐天 896 2024-08-07
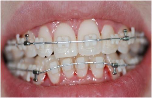
牙齿矫正期间更换医生或医院的注意事项有哪些? 在牙齿矫正的过程中,由于各种原因,有些患者可能会考虑更换医生或医院。这是一个需要谨慎对待的决定,并且有许多注意事项需要了解。下面,让我们详细探讨一下。一、更换前... 牙齿矫正 甫环 1472 2024-07-23
种牙后多久可以正常饮食?种牙有哪些注意事项? 在种植牙成为越来越多缺牙患者选择的修复方式时,了解种牙后的饮食恢复时间和相关注意事项至关重要。下面我将为您详细介绍。一、种牙后正常饮食的时间进程术后短期(1-3... 种植牙 朱小溪 4503 2024-07-19
种牙小知识:在种植体的材料选择方面有哪些注意事项? 在种植牙治疗中,种植体材料的选择是一个关键环节,它直接关系到种植牙的成功率、使用寿命以及患者的舒适度。下面,我们来详细了解一下在种植体材料选择方面的注意事项。一... 种植牙 guoliangping 1349 2024-07-18
智齿发炎肿痛会自愈吗?智齿拔除后有哪些注意事项? 智齿发炎肿痛是一种常见的口腔问题,给许多人带来了不适和困扰。不少患者会关心,这种发炎肿痛的情况是否能够自行痊愈,以及在拔除智齿后需要注意些什么。下面,我们就来详... 口腔资讯 谬长逸 1495 2024-07-13
牙科知识:磨牙症患者在使用全瓷牙时有哪些注意事项? 磨牙症是一种常见的口腔副功能运动,表现为在睡眠或清醒时无意识地磨牙或紧咬牙。对于磨牙症患者来说,选择全瓷牙进行修复时需要特别注意一些事项,以确保全瓷牙的使用寿命... 口腔资讯 guoliangping 789 2024-07-13
如何正确使用烤瓷牙?预防烤瓷牙松动的注意事项有哪些? 烤瓷牙作为一种常见的牙齿修复方式,为许多患者带来了美观和功能上的改善。然而,要想让烤瓷牙发挥良好的效果并保持长久稳定,正确的使用方法和预防松动的注意事项至关重要... 牙齿治疗 丰尔槐 903 2024-07-11
如何判断窝沟封闭是否成功?窝沟封闭后有哪些注意事项? 牙齿健康对于我们的整体健康至关重要,而儿童和青少年时期是保护牙齿的关键阶段。窝沟封闭作为一种预防龋齿的有效方法,已经被广泛应用。但很多人对于如何判断窝沟封闭是否... 口腔资讯 guoliangping 1023 2024-06-29
有哪些儿童牙齿不齐的治疗方法?儿童矫正牙齿时有哪些注意事项? 儿童牙齿不齐不仅影响美观,还可能对口腔健康和功能产生不利影响。了解适合儿童的牙齿不齐治疗方法以及矫正过程中的注意事项,对于家长和孩子来说都至关重要。下面我们就来... 牙齿矫正 员文石 888 2024-06-27