缺失牙齿应及时镶牙 2008年第三次全国口腔健康流行病学调查结果显示:65~74岁老年人患龋率为98.4%,平均每人龋齿数为14.65颗;牙周健康率为14.1%,牙龈出... 牙齿治疗 范姜英杰 643 2024-03-15
拔牙的禁忌症有哪些 牙拔除术是治疗患牙的一种手段,但也是一种迫不得已的手段,在解除患者的痛苦时,也给患者造成了一定的损伤。不少人都尝过拔牙的滋味,拔牙手术虽小,如若不加注意,会惹出... 牙齿治疗 谬长逸 800 2024-02-29
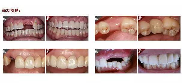
安装假牙前应做什么准备 经过口腔全面检查,按照缺牙数目和部位及口腔内其他牙齿情况,拟定口腔修复设计,对口腔内影响安装假牙效果的情况进行处理,以保证戴上假牙后获得良好的效果。... 牙齿治疗 郜清淑 934 2024-02-27
做固定假牙应具备什么条件 固定假牙是利用缺牙两侧的真牙作为“桥基牙”,将其磨小制做合适的冠套,再将假牙与基牙的冠套相连最后用黏固剂黏着在基牙上,患者不能自行摘戴。这种假牙坚实稳固、美观舒... 牙齿治疗 闾鸿达 2042 2024-02-27
全口义齿的初戴与维护 为了使患者尽快地适应义齿和发挥义齿功能,医师应帮助患者对使用义齿有正确的认识和了解。如果患者年龄不太大,身体健康状况好,适应能力强,咀嚼功能恢复就快。如患者口腔... 牙齿治疗 令狐逸 1322 2024-02-23
假牙需要修理与更换吗 缺牙患者戴入假牙后,经过调整修改可逐步适应,咀嚼功能明显提高。但有些人的假牙经数年使用后,咀嚼功能又有所降低,而且假牙易于损坏,这时假牙需要修理以至于更换。如果... 牙齿治疗 速俨 707 2024-02-19
拔牙后的修复是什么样的 一般情况下,拔牙后2~3个月装牙比较合适。这是因为拔创口的完全愈合需要有一个过程。在正常的情况下,拔牙后会露出一个牙槽的窝洞(即创口),里面充满了血凝块。... 牙齿治疗 仙千风 553 2024-01-29
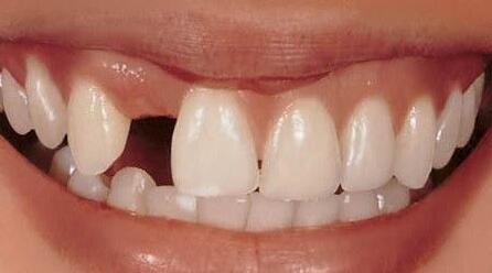
缺了牙怎么办 人的一生中有两期牙齿,一期是乳牙,一期是恒牙。乳牙的脱落和缺失是很正常的,如果乳牙不脱落反而不正常,因为它会影响到恒牙的生长。恒牙则是人生中永久的牙齿,如果保护... 牙齿治疗 公冶乐天 600 2024-01-04
缺牙给身体带来哪些不良影响 牙齿是保证人体健康的重要一环,而且牙齿也是人体内少数不能再生的组织之一。所以,当牙齿由于某些原因缺失后,对人体很多方面都会造成不良的影响。... 牙齿治疗 丰尔槐 585 2024-01-02
牙周炎治疗的目标是什么 消除炎症及其所导致的不适、出血、疼痛等症状,使牙周破坏停止,并促使组织修复再生,这是治疗的最基本目标,因为只有消除了炎症,牙周破坏才得以停止,组织才有修复再生的... 口腔资讯 郜清淑 553 2023-12-06
拔牙前后的注意事项 拔牙本身可导致软组织或硬组织的创伤,很多拔牙是在已有感染的组织上进行的,因此,能引起不同程度的全身反应或并发症。多颗牙拔除或拔牙的创口过大,有时也可引起全身疾病... 牙齿治疗 仙千风 585 2023-12-06
拔牙后何时镶牙合适 没了牙齿,吃东西肯定不方便,不但影响咀嚼功能还影响美观。一般情况下,拔牙后2~3个月左右装牙比较合适这是因为拔创口的完全愈合需要一个过程。... 牙齿治疗 聊华清 511 2023-11-17
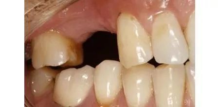
缺牙不镶有什么危害 牙是直接行使咀嚼功能的器官,且与发音、语言及保持面部正常形态有密切的关系。牙缺失后不可避免地要影响到这些功能给身体造成一定危害。其影响的程度与缺牙的部位、数量和... 牙齿治疗 建原 667 2023-11-06
正畸治疗如何为缺牙患者创造更好的修复条件 在人类生活中有美与不美之分。人们喜欢饱览美丽的风景、观看优美的舞蹈、欣赏动听的音乐、见到美丽的人物。美有多种划分方式,也有多种表现形式。大自然以其自然的色彩、形... 牙齿矫正 笪冰夏 476 2023-11-06
缺牙后长期不镶牙会发生什么样的后果 现在很多人往往拔了牙齿后,因为怕麻烦,或者经济上的原因,不及时去镶牙。日子久了,就慢慢把这事淡忘了似乎觉得不镶假牙对生活也无大碍。但其实牙齿缺失后如果长期未镶假... 牙齿治疗 admin 606 2023-10-20
长期缺牙不修复的危害 很多人都意识不到缺牙对口腔健康的影响,每颗牙都有自己的功能,掉一颗牙不仅会失去相关功能,还会影响旁边的牙齿,导致牙齿松动的问题。... 口腔资讯 admin 554 2023-10-19
缺牙对身体有何不良影响 缺牙对身体的不良影响,最直接的感受可能是缺牙给咀嚼食物带来的诸多不便。假如是前牙缺失,还很有可能会对人的心里造成伤害,形成自卑心理。... 牙齿治疗 admin 541 2023-10-18