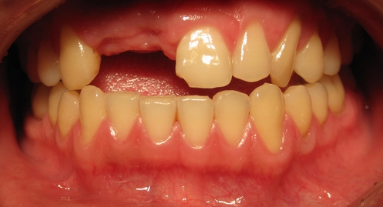
很多人都意识不到缺牙对口腔健康的影响,每颗牙都有自己的功能,掉一颗牙不仅会失去相关功能,还会影响旁边的牙齿,导致牙齿松动的问题。

长期缺牙不修复的危害:
1、 影响颞颌关节功能:如果牙齿长度不一、高低不平。 在咀嚼过程中会有干扰,有可能影响我们的颞颌关节功能,高低不平也非常易 于引起食物嵌塞。
2、 增加患龋几率:如果一侧有了缺牙,因为咀嚼不便,所以会放弃在缺牙侧咀嚼,缺牙侧缺少了 咀嚼过程中的自洁作用(咀嚼粗纤维食物会摩擦清洁牙齿表面)。牙结石会在缺牙一侧牙齿表面过多沉积,口腔气味也会变差,并增加了患龋的几率。
3、对颌牙齿异常延伸:牙齿自萌出后一直存在与对颌的牙齿相遇、建立咬合关系的倾向。 缺牙不修复,对颌牙齿就会往缺牙方向伸长。 有时还会遇到缺牙时间过久,牙齿伸长已经咬到对颌的牙龈,没有修复空间的情况。
4、 缺牙区相邻牙齿倾斜:牙齿萌出后,一直会有向两边移动倾斜的倾向,必须找到一个旁边的牙齿来依靠牙齿缺失后,相邻的牙齿失去了依靠,就会向缺牙区倾斜(不让我依靠我就倒)。
5、缺牙区相邻牙松动脱落:如果牙齿倾斜严重,正常的咀嚼力对这些牙齿就是伤害,牙槽骨会引吸收,倾 斜的牙齿会发生松动。
6、 可能对发音产生影响:尤其是前牙缺失的情况。

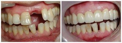
以上危害是假设我们只缺失单颗牙,如果是缺失多颗牙,危害更复杂,影响更 大。 所以无论活动、固定还是种植,还是选一种修复方法吧,毕竟缺牙区的相邻牙齿需要依靠,我们日常生活,吃饭也离不开完整的牙齿。
标签: #缺牙
评论列表