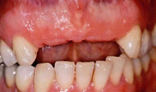
牙齿缺了一部分后应怎样治疗修复 牙齿由于某些原因造成一部分缺损,在医学上叫做牙体缺损。牙体缺损的原因很多,其中主要原因是龋病,其次是外伤、磨损、楔状缺损、酸蚀和发育畸形等。牙体缺损后要根据缺损... 牙齿治疗 令狐逸 606 2024-01-02
牙体缺损修复前要做什么准备 牙体缺损是一种常见的疾病,其原因主要有龋病、楔状缺损及外伤等,造成牙不完整。龋病所造成的缺损主要是在牙的咬合面或相邻牙的位置,楔状缺损主要是不良的刷牙方法造成的... 牙齿治疗 朱小溪 613 2023-12-27
牙体缺损的嵌体修复 嵌体是一种嵌入牙体洞内部以恢复牙体形态和功能的修复体。理论上说凡是能用充填材料恢复牙体缺损者都可用体修复但目前口腔充材料不断发展用充方法就能取得较满意的结果,而... 牙齿治疗 彤依波 702 2023-12-25
全瓷牙冠是什么 全瓷牙冠是近几年才在临床推广使用的一种全冠修复体。它全部用瓷粉经高温烧结而成,可以更逼真地再现自然牙的颜色和半透明性,是目前美观效果最好的修复体。... 烤瓷牙 谬长逸 568 2023-12-21
树脂修复是什么 树脂修复的步骤是什么 随着口腔新材料的迅速发展,牙齿的美容修复又有了许多新的方法,光固化复合树脂美容修复法就是其中之一。该法是经过简单的牙体预备后,用与健康牙齿色泽相似的光敏树脂覆盖... 牙齿美白 鄂昊英 544 2023-12-21
牙体缺损修复前的准备有什么 为了给牙体缺损的修复治疗创造良好的条件,改善美观和功能,延长修复体使用年限,保证术中术后患者面颔系统及全身的健康,在作牙体预备之前,对一些患者应作必要的术前治疗... 牙齿治疗 吴芳芳 705 2023-12-19
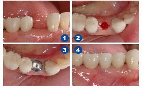
牙体缺损常用的几种修复体有哪些 牙体缺损修复治疗最常用的是嵌体和冠。修复体制作的主要过程是将患牙制备成一定的形状,然后制做一个形态合适的修复体,将其粘着在牙体上,恢复患牙的正常形态及功能。... 牙齿治疗 所晴丽 665 2023-12-15
牙体缺损的病因是什么 牙体缺损修复治疗最常用的是嵌体和冠。修复体制作的主要过程是将患牙制备成一定的形状,然后制做一个形态合适的修复体,将其粘着在牙体上,恢复患牙的正常形态及功能。造成... 牙齿治疗 彤依波 536 2023-12-15
牙髓炎的病因是什么 由于细菌感染等各种原因引起的牙髓组织的炎症称为牙髓炎。由龋齿感染而引起的牙髓炎又最为常见。因此预防龋齿和早期治疗龋齿可防止牙髓炎和根尖周炎的发生。... 口腔资讯 南光耀 838 2023-12-15
牙体缺损的修复治疗原则 牙体缺损是口腔科的常见病,多发病,多是由龋病、外伤、磨损、楔状缺损、酸蚀发育畸形等引起。表现为牙体形态、咬合及邻接关系的破坏。因而常常对咀嚼、发育、面容、牙髓、... 牙齿治疗 建原 671 2023-12-05
牙体缺损的病因及影响 牙体缺损是指各种牙体组织不同程度的质地和生理解剖外形损坏或异常。一般情况下,牙体缺损多采用充填治疗方法,但若牙体缺损范围大、缺损程度严重、残留牙体组织少或充填治... 牙齿矫正 建原 629 2023-12-01
什么是牙体缺损 牙体缺损修复前要做什么准备 牙体缺损是指各种牙体硬组织不同程度的质地和生理解剖外形的损坏或异常,它常表现为正常牙体形态、咬合及邻接关系的破坏。牙缺损常见的原因是龋病,其次为外伤、磨损、楔状... 牙齿治疗 郜清淑 602 2023-11-25
牙体缺损修复后可能出现的问题及处理 牙体缺损与其他修复相比,其术后问题出现率和复诊率最低。但是如果适应证掌握不好,修复治疗过程中未能遵循修复原则和质量要求,仍可能出现一些问题。轻者需要适当处理,严... 牙齿治疗 笪冰夏 604 2023-11-17
嵌体修复的步骤是什么 嵌体修复的注意事项 烤瓷牙已被越来越多的人接受。烤瓷牙不仅给人们带来与真牙功能相当的咀嚼效力,而且外观上也可与真牙相“媲美”,不过现在大多数患者对烤瓷牙的种类及其性能特点知之甚少。... 烤瓷牙 范姜英杰 1369 2023-11-17
嵌体是什么 嵌体有什么适应证和禁忌证 嵌体是一种嵌入牙体内部,用以恢复牙体缺损的形态和功能的修复体或冠内固位体。其优点是机械性能优良,美观(如用树脂或陶瓷材料制作)。缺点是边缘线长,牙体切较多,制作... 烤瓷牙 申屠亦凝 707 2023-11-17
牙体缺损有什么影响 牙体缺损是指由于各种原因引起的牙体硬组织不同程度的破坏、缺损或发育畸形,造成牙体形态、咬合及邻接关系的异常,对咀嚼、发音、美观以及牙髓、牙周组织等可产生不同程度... 牙齿治疗 公冶乐天 702 2023-11-11
牙体缺损是什么 牙体缺损的临床表现是什么 牙体缺损是指各种牙体硬组织不同程度的质地和生理解剖外形的损害或异常,它常表现为正常牙体形态、咬合及邻接关系的破坏。因而常常对咀嚼、发育、面容、牙髓、牙周组织甚至... 口腔资讯 丘乐正 1633 2023-11-03
哪些牙科畸形或缺陷需要美容 牙体缺损应该修复治疗 牙科畸形或缺陷类型较多,有大有小,有简单的,也有复杂的。比如大的有颌骨的畸形,包括上下颌前突或下颌前突、小下颌等。... 口腔资讯 admin 524 2023-10-18