龋齿的治疗原则是什么 治疗步骤是怎么样的 龋病的损害部位可发生在牙冠的窝沟面(面)、平滑面(唇颊、舌腭、近中、远中)及牙颈部。龋病的治疗原则是除去龋损的牙体组织,制备洞形,然后填充修复牙冠形态及功能。... 牙齿治疗 仪捷 693 2024-01-22
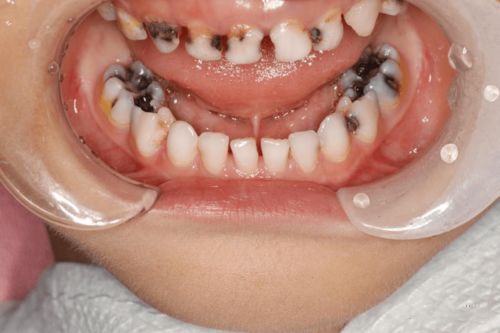
牙科小知识:儿童龋齿填充治疗时需要注意什么? 儿童龋齿是一个常见的口腔问题,当龋齿发展到一定程度时,填充治疗往往是必要的措施。然而,由于儿童的生理和心理特点,在进行龋齿填充治疗时需要特别的关注和注意。接下来... 口腔资讯 巨伟懋 877 2024-07-12
牙科小知识:烤瓷牙和树脂牙的使用寿命探究 在牙科修复领域,烤瓷牙和树脂牙是较为常见的选择。然而,它们的使用寿命是患者普遍关心的问题。了解它们各自的大致使用期限以及影响因素,对于患者做出合适的选择和后续的... 口腔资讯 申屠亦凝 711 2024-06-05
在树脂牙和烤瓷牙的选择中,可以考虑哪些额外的因素? 在面临树脂牙和烤瓷牙的选择时,除了它们本身的特性外,还有许多额外的因素需要仔细斟酌。这些因素对于做出最适合个人的决策至关重要。一、口腔健康状况剩余牙体组织情况详... 口腔资讯 速俨 1026 2024-06-05
树脂牙和烤瓷牙的区别是什么?怎么选择补牙的材料? 在牙科修复领域,树脂牙和烤瓷牙是较为常见的选择,而补牙时材料的挑选也让很多人感到困惑。让我们深入探讨它们的区别以及如何明智地选择补牙材料。一、树脂牙的特点材料构... 口腔资讯 郜清淑 2961 2024-06-05
补牙用什么材料好?树脂牙能用多久? 当牙齿出现缺损或龋坏时,补牙是常见的修复方法。而选择合适的补牙材料至关重要,同时大家也对树脂牙的使用寿命非常关心。下面我们就来详细探讨这些问题。一、常见的补牙材... 口腔资讯 鄂昊英 2134 2024-06-05
复合树脂修复的操作步骤 复合树脂修复法适用于着色位置较深甚至伴有牙体缺损的中重度的氟牙症,其方法简便,创伤小,但由于树脂的老化现象难以避免,远期效果一般,目前更多被瓷贴面修复技术所取代... 牙齿治疗 钟苒 1088 2024-04-08
光固化复合树脂修复的步骤是什么 随着口腔新材料的迅速发展,牙齿的美容修复又有了许多新的方法,光固化复合树脂美容修复法就是其中之一。该法是经过简单的牙体预备后,用与健康牙齿色泽相似的光敏树脂覆盖... 牙齿治疗 丰尔槐 850 2024-03-12
天津市河西区树脂补牙比较靠谱的门诊有哪些?医院实力介绍/2024年价格费用详细分享 天津市河西区口腔医院哪家做树脂补牙好?对于需要寻找天津市河西区做树脂补牙好的口腔医院的患者来说,选择一家可信赖的口腔医疗机构是至关重要的。分享一下天津市河西区口... 推荐医院 潭韶敏 760 2024-03-01
成都市青羊区树脂补牙医生排名24年更新!医生技术优势分析~ 成都市青羊区口腔医院哪家做树脂补牙好?对于需要寻找成都市青羊区做树脂补牙好的口腔医院的患者来说,选择一家可信赖的口腔医疗机构是至关重要的。分享一下成都市青羊区口... 推荐医生 吴芳芳 660 2024-02-29