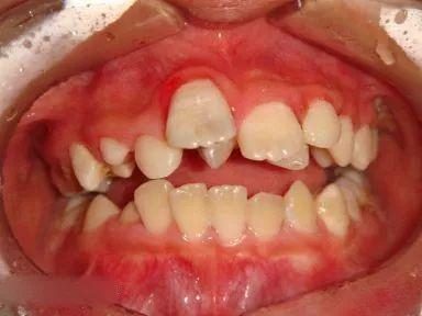
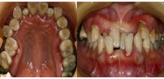
扩大牙弓是矫治牙列拥挤的主要方法之一。通过矫治器将牙弓的宽度或长度扩大,在牙弓上获得一定间隙,从而使拥挤错位的牙齿排列整齐。扩大上牙弓前段长度。可解除前牙反颌,扩大上牙弓后段宽度,可使下牙弓向前调整,使磨牙远中颌矫正,而呈中性颌,也可纠正反锁颌;下牙弓的长、宽扩大可矫治前牙深覆盖、深覆颌和后牙正锁颌。此外扩大牙弓后可调整上下牙弓长度或宽度的颌间关系不调。

儿童处于生长发育阶段的恒牙早期或替牙期,扩大牙弓可获良好的效果。扩弓矫治器有活动和固定两类装置,活动扩弓矫治器有单颌扩弓和带翼扩弓两种。顾名思义,前者仅单独用于上牙弓或下牙弓,后者可同时同步扩大上下牙弓。
牙弓的扩展:
在拔牙矫治法被接受以前,正畸医师为排齐拥挤的牙齿而采用固定矫治器扩展牙弓,尽管牙齿排列得到改善,但因某些不稳定因素的存在而使大量病例复发。
由于这一教训,现在对拥挤严重的病例大多采用拔牙矫治的方法,矫治效果因而获得稳定。
但对于轻度甚至一些中度拥挤而面型不突的病例,仍可考虑用扩展牙弓的方法,增加牙弓的长度而提供一定的间隙。
牙弓的扩展可以从两个方向进行,即从横向扩展增加牙弓的宽度,从纵向扩展增加牙弓的长度,二者都可使牙弓弧长增大。
具体方法可用固定矫治器、可摘矫治器、口外矫治器以及螺旋扩大器等,可以移动牙齿进行扩弓,也可以用螺旋扩大器在短期内打开上颌骨的腭中缝,使上颌骨增宽。

一般处在生长期中的儿童扩展牙弓效果相对明显而稳定,正畸医生要根据全面的诊断,包括对错颌情况和生长发育阶段的评估,才能确定是否适合作牙弓扩展以及具体的时间和方法。
评论列表