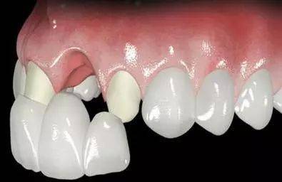
由于固定桥的制作中有几十道工序,模型反复制作几次,从材料到技术,这中间必然要出现很多问题,如金属铸造收缩变形,模型的磨损等都是出问题的所在,所以,假牙初戴时很难没有问题。

固定假牙常出现的问题有:
1.基牙疼痛
固定假牙黏固后,短时间内出现基牙疼痛,多因有早接触点引起咬合创伤,产生咬合痛。一般经磨改后,疼痛即可消失,所以初戴时不要马上吃硬东西。要注意慢慢用力,以便早发现问题,减少损害。
2.牙周膜受损
由于固位体与邻牙接触过紧,或基牙的共同就位道稍差,勉强就位而引起牙周膜损伤,产生轻微疼痛,一般数日内自行消失。由于铸造时支架收缩,戴入时对基牙产生作用力,产生牙周膜一侧疼痛。由于牙周膜的调节作用,疼痛可以在几小时消失。
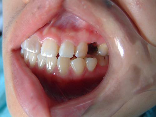
3.压迫牙龈
若由于多余的黏结材料未去净,压迫牙龈引起疼痛或出现炎症,必须及时就医,以便清洁。如果长时间疼痛不消失:说明基牙支持力不足,应该重新修复。

4.基牙松动
戴牙后疼痛,几天后出现牙松动,说明咬合力过大,基牙支持力不够,应减少应用,如果几月后还不行要重做。
5.早期脱落
一是黏结不牢,二是侧向力过大,要经医生修改后重新黏固或制作。
评论列表