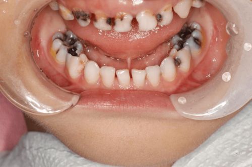
什么是牙菌斑?牙菌斑是怎么形成的?

牙菌斑是未矿化的细菌沉积物牢固地粘附于牙面所形成的菌斑是细菌的微生态环境,致菌在菌斑内生长、发育、繁殖和衰亡。

牙菌斑最常见于口腔卫生措施达不到的地方,如牙齿的领面窝沟、两牙邻接面接触点下方,并且去掉后会自动再形成。

牙菌斑与口腔常见感染性疾病(龋病和牙周病的发生密切相关。

牙菌斑是如何形成的?

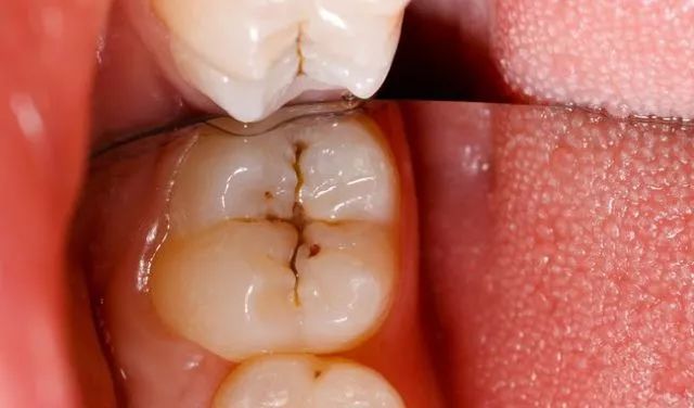
在清洁的牙面上,很快就会有唾液蛋白或糖蛋白吸附上去,形成获得性膜。获得性膜上的一些蛋白可以是某些细菌的受体开始是单个细菌出现在获得性膜上,随后多种细菌聚集并繁殖24小时便可形成肉眼可以观察到的菌斑。牙菌斑的形成过程可以分为三个阶段:

  1. 得性膜形成

  2. 细菌粘附和共聚。

  3. 菌斑成熟。

牙菌斑不会自行脱落漱口只能消除牙菌斑表面的牙垢。使用牙刷及牙线等工具是清除菌斑的最好方法。刷牙最高的菌斑清除率是 80%,对于牙间隙,应用牙线清除最好。


语音朗读全文

标签: #牙菌斑

  • 评论列表

留言评论