种牙小知识:种牙期间要怎么控制牙周炎的病情? 在种牙过程中,对于本身患有牙周炎的患者来说,控制病情至关重要。牙周炎若得不到有效控制,不仅会影响种牙的效果和成功率,还可能给口腔健康带来更多问题。下面我们就来详... 种植牙 仪捷 2095 2024-08-13
种牙后牙龈出血要怎么处理?如何预防种植牙期间的牙龈出血? 种植牙是一种有效的牙齿修复方式,但在种牙后可能会出现牙龈出血的情况,这会让患者感到担忧。了解如何处理种牙后的牙龈出血以及如何预防这种情况的发生,对于患者的口腔健... 种植牙 丰尔槐 1713 2024-08-13
种植牙失败的原因有哪些?种植牙失败后要怎么处理? 种植牙作为一种较为理想的牙齿修复方式,在为众多患者带来便利和美观的同时,也存在一定的失败风险。了解种植牙失败的原因以及相应的处理方法,对于患者和牙医都具有重要意... 种植牙 guoliangping 2999 2024-08-13
牙科小知识:全瓷牙崩瓷后再治疗会有哪些风险和并发症吗? 全瓷牙以其出色的美观性和生物相容性,成为了许多患者修复牙齿的理想选择。然而,有时全瓷牙可能会发生崩瓷现象。当需要对崩瓷的全瓷牙进行再治疗时,患者往往会关心这一过... 烤瓷牙 公冶乐天 1396 2024-08-12
种植牙知识:出现种植牙周围炎要怎么进行治疗? 种植牙作为一种有效的牙齿修复方式,为许多患者带来了便利和美观。然而,就像天然牙齿可能会患上牙周炎一样,种植牙也可能出现种植牙周围炎。当这种情况发生时,及时有效的... 种植牙 充向雪 1120 2024-08-12
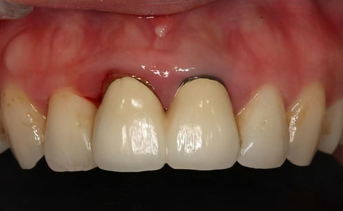
种植牙牙龈发黑后还需要继续维护种植牙?种植牙牙龈发黑要重新种植吗? 种植牙作为一种有效的牙齿修复方式,为许多患者解决了缺牙的困扰。然而,有时会出现种植牙牙龈发黑的情况,这让患者感到担忧和困惑。那么,在这种情况下,是否还需要继续维... 种植牙 仪捷 897 2024-08-12
牙科小知识:轻微崩瓷的全瓷牙需要进行治疗吗? 全瓷牙作为一种美观且性能优良的牙齿修复方式,在改善口腔功能和美观度方面发挥着重要作用。然而,有时全瓷牙可能会出现轻微崩瓷的情况。那么,这种情况下是否需要进行治疗... 烤瓷牙 仙千风 1355 2024-08-12
不同品牌和材质的全瓷牙崩瓷后的修复方式有区别吗? 全瓷牙因其出色的美观性和生物相容性,成为了许多患者修复牙齿的首选。然而,在使用过程中,全瓷牙可能会出现崩瓷的情况。不同品牌和材质的全瓷牙在崩瓷后的修复方式是否存... 烤瓷牙 丰尔槐 1267 2024-08-12
种牙小知识:牙龈炎和牙周疾病会影响种植牙的使用寿命吗? 种植牙作为一种有效的牙齿缺失修复方法,为众多患者带来了便利和美观。然而,在种植牙的长期维护中,牙龈炎和牙周疾病是需要重点关注的问题。那么,它们究竟会不会影响种植... 种植牙 丘乐正 883 2024-08-12
种牙小知识:口腔卫生不佳引起的种植牙牙龈发黑要怎么治疗? 种植牙作为一种有效的牙齿修复方式,为许多患者带来了便利和美观。然而,如果口腔卫生不佳,可能会导致种植牙牙龈发黑,这不仅影响美观,还可能对种植牙的健康和使用寿命产... 种植牙 guoliangping 997 2024-08-12