应用复合树脂材料补牙效果如何 牙齿作为消化系统的一个咀嚼器官,比起人的心脏或大脑来,其似乎微不足道。因而对它的重视程度远不如眼睛,比如有人习惯说“像保护眼睛一样”,却没有人说“像保护牙齿一样... 补牙 令狐逸 576 2023-12-19
治疗龋齿有什么重要性 龋齿在世界上是常见病、多发病,并且可以诱发出多种慢性疾患。乳牙可以患龋齿,恒牙也可以患龋齿。龋齿是细菌从牙齿感染进入人体内的一个开端。极高的翻齿发病率,使许多牙... 牙齿治疗 仙千风 699 2023-12-19
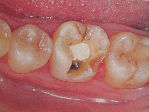
树脂修复适应证和禁忌证 复合树脂与银汞合金相比具有美观、保存牙体组织、降低微渗漏、环保等优点,在临床应用越来越广泛,正逐渐取代银汞作为后牙的修复材料。... 牙齿治疗 壬以松 1813 2023-12-11
龋病发病的四联因素是什么 龋病就是龋齿,是在以细菌为主的多种因素影响下,牙齿的硬组织逐渐破坏消失的一种疾病。它是人类最常见的世界性疾病之一。世界卫生组织将它列为危害人类健康的第三大高发疾... 牙齿治疗 丘乐正 743 2023-12-11
哪些情况下需要拔牙 拔牙的原因是很多的,由于各医院医疗条件以及病人需求的不同,拔牙的适应证也随之变化。目前随着口腔医学各学科的发展,很多病牙都可以经过治疗而得以保留,在确定必须拔牙... 牙齿治疗 丰尔槐 522 2023-12-06
深龋的治疗方法 深龋的治疗方法,应有利于增强牙髓的防御能力,消除牙随早期炎症,保护牙髓的功能。在治疗过程中要特别注意避免物理性刺激,如机械损伤、摩擦产热、冷水激,也应避免化学性... 牙齿治疗 速俨 608 2023-12-01
龋齿有什么危害 龋齿是威胁人类身体健康的一种常见病、多发病。根据我国的大量调查发现,我国人民患龋率为37.3%,患龋者平均每人有龋齿2.47颗。由此推算,我国有龋病患者约... 牙齿治疗 鄂昊英 579 2023-11-28
补牙为什么越早越好 如果患了龋病就应尽可能地早修补,因为龋洞经过修补后可以阻止龋病病变的发展,及早恢复牙齿的功能,保持牙列的完整若不进行及时治疗,病变就会越来越大,从浅龋发展到深龋... 补牙 范姜英杰 521 2023-11-25
填补后的牙齿要注意些什么 正常牙齿结构完整致密,牙髓中的血管源源不断地供给营养,使牙齿充满活力,显得特别坚硬且有光泽杂技演员经过训练的牙齿,能承担上百公斤的力量,而没有训练的牙齿,在吃饭... 根管治疗 令狐逸 469 2023-11-24
什么是龋齿 龋齿,俗称“虫牙”、“蛀牙”,它并不是虫子把牙齿蛀坏了,而是在以细菌为主的多种因素影响下,牙齿的牙釉质、牙本质或牙骨质发生的一种慢性、进行性、破坏性的疾病。龋齿... 补牙 吴芳芳 507 2023-11-15
树脂补牙能用多久 牙齿有龋洞要及时补牙,才不会进一步损害牙齿健康。树脂是现在补牙时常用的材料,那么,树脂补牙能用多久呢?树脂材料颜色可以和自己的牙齿基本一致,强度也好,固位性也好... 牙齿治疗 素若南 727 2023-11-08
牙齿缺损修复为什么要趁早 别看牙齿很小,但对人是很重要的一个器官,说牙齿不重要可一日三餐都靠它,说牙齿无关紧要,却可以因为一颗牙影响到你的整体美。所以,无论什么原因造成的个别牙齿部分缺失... 牙齿治疗 建原 688 2023-11-07
注意不要轻易拔牙 补牙后出现不适应怎样处理 注意不要轻易拔牙,拔牙是口腔科常用的治疗技术,但不可把它看得异常简单而掉以轻心。一个病牙要不要拔掉,应慎重考虑,如果患心血管系统疾病,特别是血液系统全身疾病时更... 牙齿治疗 admin 1051 2023-10-20