人类因进化、遗传、发育等因素的影响,任何牙齿均可能因萌出困难而成为“阻生齿”。阻生齿最常见于下颌第三磨牙,此牙萌出年龄在20岁左右,故阻生第三磨牙习惯称为“阻生智齿”。下颌阻生智齿发生率很高约为 50%左右。这种阻生智齿对口腔及全身甚有危害,故多数应拔除。

阻生智齿产生的危害:
(1)冠周炎:智齿因阻生而牙冠不能完全外露,牙冠周围的牙龈黏膜下(盲袋)极易积存食物、滋生细菌而成为冠周炎。冠周炎平时可无症状,当伤风、感冒或疲劳时,因全身抵抗力下降即转为急性冠周炎。急性冠周炎轻者患部疼痛,重者可有面颊部肿胀、开口困难、吞咽疼痛及全身发热等症状。如仍不拨牙而任其反复发作,则可形成颊部皮下脓肿或瘘管,影响面容。
(2)间隙感染:患冠周炎后如不及时治疗,炎症可进一步向颌骨周围肌肉间隙内扩散造成间隙感染。常见的有颌下、咬肌下、口底、舌下及咽旁间隙感染。间隙感染时,面颊部肿胀、疼痛,开口困难,全身症状更加明显,此时须住院进行紧急治疗。否则,有可能感染扩散,引起败血症、脓毒血症或颅内感染,从而威胁生命。
(3)骨髓炎:冠周炎或龋齿引起的根周炎,在感染严重时可向深部骨髓腔扩散成为骨髓炎。骨髓炎除常常伴有间隙感染症状、疼痛剧烈外,还常有多数牙松动或出现下唇麻木感,病程长达几个月。治疗时除应拔除阻生齿外,还要拔除其他松动牙齿。由于刮除死骨可导致颌骨缺损,故往往遗留颌面部畸形。

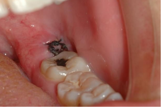
(4)第二磨牙龋坏:向前倾斜的阻生智齿,因经常在邻牙间积存食物,易发生邻牙(下第二磨牙)龋坏。这种龋坏因不在拾面上而不易被发觉,一旦发生疼痛(急性牙髓炎),牙冠常已被严重破坏。即使进行充填治疗,宜难长久保存。下第二磨牙缺失后对咀嚼功能影响较大,用假牙修复亦有困难。
(5)其他:深位埋伏的阻生智齿可形成牙原性颌骨囊肿。高位阻生齿可因创伤颌而引起颞颌关节病。
评论列表