为什么牙齿缺失后应该镶牙 有些人对口腔中缺失几颗牙齿并不重视,以为一侧牙齿没有了,可以用另一侧牙齿吃东西:后面的牙齿没有了可以用前牙凑合着用。其实,这种想法是十分错误的。因为牙齿拔除后不... 牙齿治疗 充向雪 661 2023-12-23
带着牙根镶牙可以吗 牙科医生在临床中体验,牙颌系统只要拔了牙根,则牙槽骨马上明显走向吸收萎缩。为此,60年代中外口腔医生都力图保留牙根为患者镶上假牙。当然,牙根必须经过根管治疗,... 牙齿治疗 厉涵山 632 2023-12-19
什么是不合格的假牙 假牙有三种作用。首先,它能够部分恢复正常的咀嚼和发音功能。据测定,假牙咀嚼食物的代偿能力是30%~90%。其次,假牙能恢复人的正常脸形。再次假牙也有保护真牙的作... 牙齿治疗 南光耀 623 2023-12-19
镶牙该注意些什么 牙齿是人体的重要器官之一。一副健康的牙齿不但能帮助咀嚼和发音正确,还具有使颌骨发育和端正面貌等作用。但是,当人体因患牙病或外伤缺失了真牙以后,它将破坏以上功能,... 牙齿治疗 公冶乐天 618 2023-12-19
拔牙前后的注意事项 拔牙本身可导致软组织或硬组织的创伤,很多拔牙是在已有感染的组织上进行的,因此,能引起不同程度的全身反应或并发症。多颗牙拔除或拔牙的创口过大,有时也可引起全身疾病... 牙齿治疗 仙千风 575 2023-12-06
能否不拔残根就镶牙 由于龋齿、外伤等原因致使牙冠大面积缺损,甚至牙冠完全缺失,只留下残余的牙根,称为残根。这种残牙若发生在前牙,影响美观和发音,若是后牙则影响咀嚼功能,致使患者只能... 牙齿治疗 厉涵山 558 2023-11-24
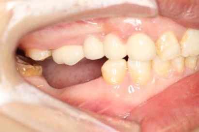
牙齿缺失为什么要镶 当牙齿因病拔掉以后,就留下了一个空位。邻近的牙齿因失去平衡,而向缺牙空位移动和倾斜,相邻的牙齿发生倾斜后,又可影响其他的邻牙。使牙齿的正常功能遭受破坏,从而发生... 牙齿治疗 钟苒 526 2023-11-23
为什么拔牙后要及时镶牙 牙列缺损后,口颌系统的完整性就被破坏,不仅影响局部,还可影响全身。邻近的牙齿因失去平衡,而向缺牙空位移动和倾斜,相邻的牙齿发生倾斜后,又可影响其他的邻牙。使牙齿... 牙齿治疗 苦冷亦 501 2023-11-17
拔牙后何时镶牙合适 没了牙齿,吃东西肯定不方便,不但影响咀嚼功能还影响美观。一般情况下,拔牙后2~3个月左右装牙比较合适这是因为拔创口的完全愈合需要一个过程。... 牙齿治疗 聊华清 501 2023-11-17
牙齿缺损修复为什么要趁早 别看牙齿很小,但对人是很重要的一个器官,说牙齿不重要可一日三餐都靠它,说牙齿无关紧要,却可以因为一颗牙影响到你的整体美。所以,无论什么原因造成的个别牙齿部分缺失... 牙齿治疗 建原 688 2023-11-07
缺牙不镶有什么危害 牙是直接行使咀嚼功能的器官,且与发音、语言及保持面部正常形态有密切的关系。牙缺失后不可避免地要影响到这些功能给身体造成一定危害。其影响的程度与缺牙的部位、数量和... 牙齿治疗 建原 656 2023-11-06
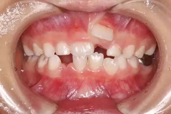
儿童牙齿缺失应该镶牙吗 牙齿缺失的修复方法是什么 对于儿童,及时镶上缺失的牙齿,对其颌面发育成长是很重要的。牙齿的主要功能是咀嚼食物,儿童缺少了牙齿,首先不能很好地咀嚼食物,影响营养物质的吸收,增加胃肠负担,久... 口腔资讯 仪捷 665 2023-11-02
镶牙前要做哪些准备工作 为了给牙缺损的修复治疗创造好的条件,改善美观和功能,延长假牙使用年限,保证术中术后患者口腔颌面系统及全身健康,所以修复前要做一些必要的治疗和心理准备。... 牙齿治疗 admin 585 2023-10-26