假牙需要修理与更换吗 缺牙患者戴入假牙后,经过调整修改可逐步适应,咀嚼功能明显提高。但有些人的假牙经数年使用后,咀嚼功能又有所降低,而且假牙易于损坏,这时假牙需要修理以至于更换。如果... 牙齿治疗 速俨 697 2024-02-19
镶假牙时为什么要磨牙 镶假牙在取模前,医生需要按照设计、磨改余留在口腔内的真牙。许多病人对此不理解,担心容易造成这些被磨牙的损害,或害怕痛而拒绝镶牙。为什么要磨牙呢?... 牙齿治疗 郜清淑 525 2024-02-19
拔牙后的修复是什么样的 一般情况下,拔牙后2~3个月装牙比较合适。这是因为拔创口的完全愈合需要有一个过程。在正常的情况下,拔牙后会露出一个牙槽的窝洞(即创口),里面充满了血凝块。... 牙齿治疗 仙千风 544 2024-01-29
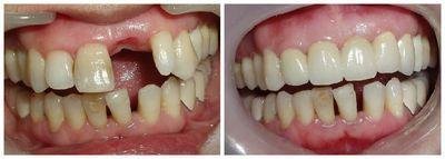
缺牙对咬合系统的影响有哪些 牙齿缺失的痛苦,只有亲身经历的人才会深有体会。平常喜欢的食物不能吃,还会引起消化功能上的障碍和严重影响到自己的外在形象。这成为很多牙齿缺失患者无法言喻的苦衷,但... 牙齿治疗 聊华清 606 2024-01-25
镶牙怎么选择义齿 怎么保护义齿 义齿俗称假牙,有活动义齿和固定义齿两类,活动义齿由基托、固位体、假牙冠和连接体构成,制做简单,可以摘戴刷洗,不受缺失牙齿多少限制,造价便宜。缺点是咀嚼力差,容易... 牙齿治疗 阙德厚 533 2024-01-15
为什么牙齿缺失后要镶牙 镶牙是指牙齿缺失后,用人工方法将缺失的牙齿按原来的形状,恢复起来,继续发挥牙齿的功能,俗称假牙,医学上称义齿。制做义齿的技术称修复技术或镶复技术。... 牙齿治疗 鲜清怡 535 2024-01-15
病人镶牙前应做好口腔准备工作 牙体缺损是指各种牙体硬组织不同程度的质地和生理解剖外形的损坏或异常,表现为正常牙体形态咬合及邻接关系的破坏。牙齿缺损应该要及时镶牙。... 牙齿治疗 南光耀 621 2024-01-04
缺了牙怎么办 人的一生中有两期牙齿,一期是乳牙,一期是恒牙。乳牙的脱落和缺失是很正常的,如果乳牙不脱落反而不正常,因为它会影响到恒牙的生长。恒牙则是人生中永久的牙齿,如果保护... 牙齿治疗 公冶乐天 588 2024-01-04
镶牙前应做些什么准备工作 牙齿缺失后,都迫切地希望能早日镶上一副合适的假牙为了能得到良好的修复效果,在镶牙前应做准备。首先看缺牙处伤口是否完全长平。一般在拔牙后2~3个月伤口基本长平,... 牙齿治疗 仙千风 533 2024-01-02
缺牙给身体带来哪些不良影响 牙齿是保证人体健康的重要一环,而且牙齿也是人体内少数不能再生的组织之一。所以,当牙齿由于某些原因缺失后,对人体很多方面都会造成不良的影响。... 牙齿治疗 丰尔槐 578 2024-01-02
一副假牙宜使用多长时间 假牙在使用几年后,由于口腔内牙槽骨不断地萎缩而假牙不变,假牙与牙槽骨之间就会出现一定的间隙,可能会造成假牙固位不良受力时疼痛就餐时易塞食物等问题,给生活带来不便... 口腔资讯 申屠亦凝 670 2023-12-28
为什么说装假牙忌“贪便宜” 随着年龄增长,牙齿也逐渐老化,如上社会“老龄化”现象,很多人需要到牙医那儿装假牙。牙齿是直接与身体接触,生产技术要求很高,不合格的假牙对身体危害极大,装假牙切忌... 牙齿治疗 捷思若 627 2023-12-28
拔牙后不镶牙会有什么影响 几乎所有的拔牙病人都会问:拔牙以后何时镶牙?镶什么样的牙?如果要做一个临时的假牙,那么在你拔牙前后都可以取模进行假牙制作。如果想拔牙后马上戴牙就要在拔牙前取模型... 牙齿治疗 柯泰和 974 2023-12-27
镶牙该找什么样的医生 大概一般人都知道镶牙,是否真清楚呢?实际情况未必如此。从一般意义上讲口腔修复是以镶牙为主的,但随着现代医学模式的转变,新的生物医学模式已经形成我们对于健康的理解... 牙齿治疗 池醉香 728 2023-12-27
镶牙的时机是什么 镶牙的过程是什么 许多人的牙齿由于各种原因(龋病、牙周病和外伤等)丧失了,尤其是老年人群中这种现象更加普遍。有调查显示,随着年龄的增长丧失牙齿的数目增加,其中不少人口腔中牙齿... 牙齿治疗 甫环 636 2023-12-27
镶牙的重要性 牙齿缺失后尤其是后牙缺失将降低口腔的咀嚼功能,进而影响食物的消化吸收,这对老年人的健康会有负面效应。镶牙后,假牙能在一定程度上代替原来位置上的真牙行使功能,减轻... 牙齿治疗 聊华清 580 2023-12-27
戴全口义齿可能发生什么问题 如何处理 戴全口义齿后可能发生恶心、发音不清、咬唇颊、咬舌、疼痛、固位不良和功能不良等。如果症状持续甚至加重,就应即时复诊处理。需要注意的是就诊前1-2天最好继续戴牙,... 牙齿治疗 苦冷亦 589 2023-12-25
镶全口义齿需做哪些准备 当年龄较大、坏牙多、松动牙多、缺牙多,常想把剩下的牙全拔了,镶一副全口义齿。这一般要经过思想准备、咨询医师、口腔准备、经济准备,最后镶全口义齿几个阶段。... 牙齿治疗 范姜英杰 661 2023-12-25
镶牙前应该做那些准备工作 镶牙前应该做一些必要的准备工作。口腔卫生不良,存在大量的牙结石,戴上假牙后必定会更加刺激牙龈,加重牙龈炎的程度,这不仅会造成牙龈萎缩,而且会使取模时印模不准确,... 牙齿治疗 公冶乐天 687 2023-12-23