龋病的治疗方法有什么 治疗龋病的目的是终止病变的发展,保护牙髓的正常活力,恢复牙的形态和功能。需根据患者的年龄和龋坏的部位、程度等采取不同的治疗方法,除少数情况下可以用磨除法、再矿化... 牙齿治疗 仪捷 667 2024-02-26
龋病的治疗方法有哪些 治疗龋病的目的是终止病变的发展,保护牙髓的正常活力,恢复牙的形态和功能。需根据患者的年龄和龋坏的部位程度等采取不同的治疗方法,除少数情况下可以用磨除法、再矿化疗... 牙齿治疗 潭韶敏 609 2023-12-05
正畸小知识:哪些类型的隐形矫正器适合上班族? 在快节奏的现代生活中,上班族们在追求牙齿美观和健康的同时,也希望矫正过程能够尽量不影响工作和社交。隐形矫正器因其美观、舒适、方便等特点,成为了许多上班族的理想选... 牙齿矫正 仪捷 1094 2024-08-02
种植体的材料有哪些种类?各自的优缺点是什么? 种植牙作为一种先进且有效的牙齿修复方式,其成功与否很大程度上取决于种植体的材料选择。不同的种植体材料具有各自的特点和性能,了解它们的优缺点对于患者在种植牙治疗中... 种植牙 充向雪 2606 2024-07-22
牙齿全瓷贴面有哪些类型?牙齿全瓷贴面需要注意什么? 在牙齿美容领域,全瓷贴面因其出色的效果和良好的生物相容性而备受青睐。然而,对于患者来说,了解全瓷贴面的不同类型以及治疗前后的注意事项至关重要。接下来,让我们深入... 口腔资讯 苦冷亦 735 2024-07-17
选择全瓷牙的类型和材料时需要考虑哪些因素? 在进行牙齿修复时,全瓷牙因其出色的美观性和生物相容性成为了许多患者的选择。然而,全瓷牙有着多种类型和材料,在做出决定之前,需要综合考虑多个因素。接下来,让我们深... 口腔资讯 鲜清怡 711 2024-07-13
牙齿贴面有哪些类型?牙齿贴面对牙齿会有危害吗? 在牙科领域,牙齿贴面作为一种常见的美容修复手段,受到了许多人的关注。然而,对于牙齿贴面的类型以及它是否对牙齿有危害,人们可能还存在一些疑问。本文将详细探讨这些问... 牙齿贴面 谬长逸 652 2024-06-18
牙科小知识:烤瓷牙和树脂牙的使用寿命探究 在牙科修复领域,烤瓷牙和树脂牙是较为常见的选择。然而,它们的使用寿命是患者普遍关心的问题。了解它们各自的大致使用期限以及影响因素,对于患者做出合适的选择和后续的... 口腔资讯 申屠亦凝 711 2024-06-05
在树脂牙和烤瓷牙的选择中,可以考虑哪些额外的因素? 在面临树脂牙和烤瓷牙的选择时,除了它们本身的特性外,还有许多额外的因素需要仔细斟酌。这些因素对于做出最适合个人的决策至关重要。一、口腔健康状况剩余牙体组织情况详... 口腔资讯 速俨 1026 2024-06-05
树脂牙和烤瓷牙的区别是什么?怎么选择补牙的材料? 在牙科修复领域,树脂牙和烤瓷牙是较为常见的选择,而补牙时材料的挑选也让很多人感到困惑。让我们深入探讨它们的区别以及如何明智地选择补牙材料。一、树脂牙的特点材料构... 口腔资讯 郜清淑 2964 2024-06-05
补牙用什么材料好?树脂牙能用多久? 当牙齿出现缺损或龋坏时,补牙是常见的修复方法。而选择合适的补牙材料至关重要,同时大家也对树脂牙的使用寿命非常关心。下面我们就来详细探讨这些问题。一、常见的补牙材... 口腔资讯 鄂昊英 2134 2024-06-05
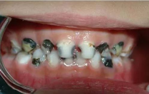
蛀牙多可以矫正牙齿吗?了解下矫正牙齿的种类和价格 在考虑进行牙齿矫正时,很多人会有各种各样的疑问,尤其是当存在蛀牙较多的情况时。同时,了解矫正牙齿的不同种类和价格也是非常重要的。本文将深入探讨这些方面的内容。一... 牙齿矫正 鲜清怡 705 2024-05-30