你可知道,口腔疾病同不良习惯密切相关吗?如果你认真而有毅力去克服它,那是会收到防治效果的。通常的不良习惯有如下一些。

引起口腔疾病的不良习惯:
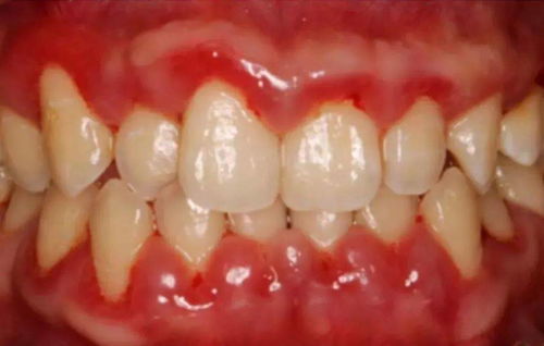
(1) 刷牙方法不当:
使用大头硬毛牙刷作拉锯式的横刷法容易造成刷伤性牙龈萎缩,进而造成牙颈部“V”字形楔状缺损,患者在进食冷、热、酸、甜食物时可有酸痛症状。正确的方法应是选用小而软的保健牙刷,用像“洗梳子”那样的竖直颤动刷牙法。
(2) 用牙齿咬硬物:
正常成人的牙齿咬合力可达到22至68kg(中切牙~磨牙),但一般饮食时的咬合力还不到其一半就够了。有些人喜欢用牙齿去咬汽水瓶盖等硬物,这种过大的咬力,可造成牙齿的崩缺、折断或松动。有些儿童喜欢咬铅笔、衣角、指甲等,这种咬合力虽不太大,但也易造成牙位改变,例如开颌(即仅后牙接触,而前牙脱离接触)等不良后果。
(3) 单侧咀嚼:
长期的单侧咀嚼会破坏双侧颌骨的发育与肌力的平衡,造成颞下颌关节功能紊乱症。患者有咀嚼运动障碍,开、闭口时耳前关节弹响、疼痛等表现。再者,咀嚼侧牙齿由于长期担负过大的颌力而形成咬合创伤,有牙面磨耗与牙齿松动等表现,而非咀嚼一侧则失去了因咀嚼而产生的生理刺激和自洁功能,会导致牙齿周围组织的萎缩、软垢与牙结石滞留等,造成牙周病。
(4) 不良嗜好:
如长期抽烟、饮酒或食用辣烫食物等,会由于刺激性过强而造成口腔黏膜表层的过度角化,在口内出现灰白色或纯白色的斑块状损害,医学上称为口腔斑白。白斑较难医治,甚至少数人还可转变成癌症。

另外,还有许多不为人们所注意而又极有害的不良习惯,如睡前吃糖而不刷牙易发生龋齿;经常用火柴、发夹等粗硬不洁物去剔牙缝会造成牙龈发炎与萎缩;寒冷干燥季节经常舔唇易引起口角炎与唇炎,儿童的咬唇习惯则容易造成开颌、牙齿稀疏、“哨牙(暴牙)”等畸形。
评论列表