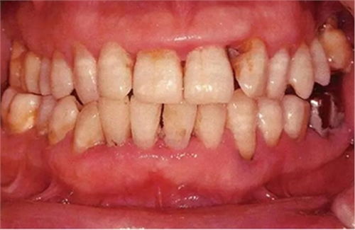
牙周病应该如何预防 牙周病是口腔两大类主要疾病之一,在世界范围内均有较高的患病率,在我国,牙周病的患病率更居龋病之上。随着我国进人老龄化社会,牙周病,尤其是牙周炎将更成为突出的保健... 口腔资讯 朱小溪 631 2023-12-26
牙科小知识:哪些口腔疾病是吸烟导致的? 吸烟对健康的危害众所周知,在口腔领域,吸烟也是多种疾病的重要诱因。下面我们就来详细了解一下哪些口腔疾病与吸烟密切相关。一、牙周病牙龈炎吸烟会导致口腔内菌群失衡,... 口腔资讯 厉涵山 2777 2024-08-13
种牙小知识:口腔卫生不佳引起的种植牙牙龈发黑要怎么治疗? 种植牙作为一种有效的牙齿修复方式,为许多患者带来了便利和美观。然而,如果口腔卫生不佳,可能会导致种植牙牙龈发黑,这不仅影响美观,还可能对种植牙的健康和使用寿命产... 种植牙 guoliangping 998 2024-08-12
正畸小知识:哪些人在正畸治疗期间更需要注意口腔卫生? 正畸治疗是改善牙齿排列和咬合关系的有效方法,但在这个过程中,保持良好的口腔卫生至关重要。不同的人群在正畸期间面临的口腔卫生挑战可能有所不同,了解哪些人更需要特别... 牙齿矫正 商清卓 1695 2024-08-10
哪些情况下残留的牙根不能被保留?拔除残留牙根对口腔健康有影响吗? 在牙科诊疗中,经常会遇到患者有残留牙根的情况。对于这些残留牙根,能否保留以及保留后的效果是患者和医生都需要慎重考虑的问题。下面我们就来详细探讨哪些情况下残留的牙... 口腔资讯 仙千风 2533 2024-08-09
镶牙前要进行哪些口腔检查?镶牙后多久需要进行一次口腔检查? 在考虑镶牙这一牙齿修复方式时,充分的口腔检查是确保镶牙成功和后续效果的关键步骤。同时,镶牙后的定期口腔检查也对于维持口腔健康和镶牙效果具有重要意义。下面我们就来... 口腔资讯 谬长逸 842 2024-08-08
牙科小知识:哪些口腔条件适合进行镶牙修复? 在牙齿缺失或损坏后,镶牙修复是恢复口腔功能和美观的重要手段。但并非所有的口腔条件都适合进行镶牙,了解适合镶牙的口腔条件对于选择合适的修复方式至关重要。下面我们来... 口腔资讯 速俨 2486 2024-08-08
镶牙后怎么保持口腔清洁?镶牙后要注意什么? 镶牙是恢复牙齿功能和美观的重要手段,但镶牙后的护理同样关键,尤其是保持口腔清洁和注意相关事项。下面我们就来详细了解一下。一、镶牙后的口腔环境变化1.假牙与口腔组... 口腔资讯 鄂昊英 2660 2024-08-08
龋齿的预防方法有哪些?如何保持口腔健康和清洁? 龋齿是一种常见的口腔疾病,给人们的生活带来诸多不便和痛苦。预防龋齿和保持口腔健康清洁至关重要,下面我们来详细探讨一下相关的方法和措施。一、龋齿的形成原因1.细菌... 口腔资讯 闾鸿达 1707 2024-08-08
隐形牙套矫正的效果能保持多久?如何正确佩戴和清洁隐形牙套? 随着牙齿矫正技术的不断发展,隐形牙套因其美观、舒适等优点,成为了越来越多人的选择。然而,在矫正完成后,大家往往关心矫正效果能维持多久,以及如何在矫正过程中正确地... 牙齿矫正 南光耀 1319 2024-08-07
正畸小知识:哪些口腔不良习惯会影响儿童牙齿矫正的效果? 儿童在牙齿矫正期间,一些不良的口腔习惯可能会对矫正效果产生不利影响,延长矫正时间甚至导致矫正失败。作为家长,了解并帮助孩子纠正这些不良习惯至关重要。接下来,让我... 牙齿矫正 充向雪 1468 2024-08-07